Chaetomium sp.
Informations complémentaires
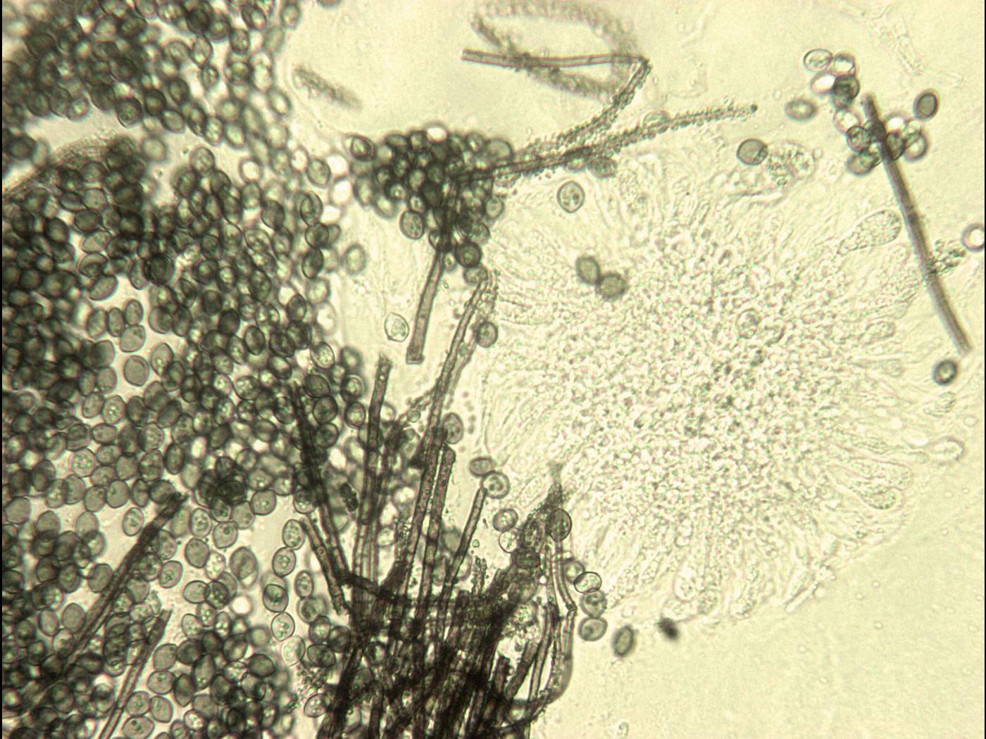
Les soies qui ornementent le périthèce sont souvent en tire-bouchon, mais peuvent aussi être droites. Certains hyphes sont septés, hyalins à brun pâle. Chaetomium tetrasporum a 4 ascospores par asque.
Dommages
Champignon de couche, Orchidées, Raisin (vigne)



