Nom latin :
Chaetomium sp.
Nom latin synonyme :
Achaetomium sp.
Informations complémentaires
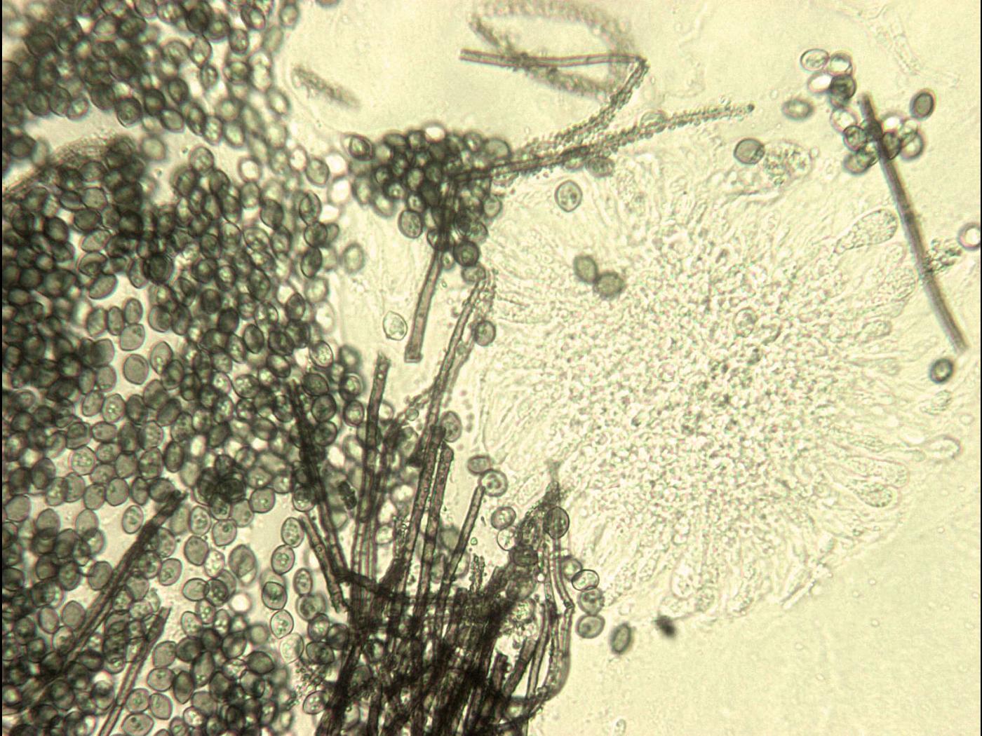
Les soies qui ornementent le périthèce sont souvent en tire-bouchon, mais peuvent aussi être droites. Certains hyphes sont septés, hyalins à brun pâle. Chaetomium tetrasporum a 4 ascospores par asque.
Dommages
Le genre Chaetomium peut affecter les cultures suivantes : champignons de couche, orchidées et raisin (vigne).



