Chromelosporium sp.

Crédit photo: Laboratoire d'expertise et de diagnostic en phytoprotection - MAPAQ
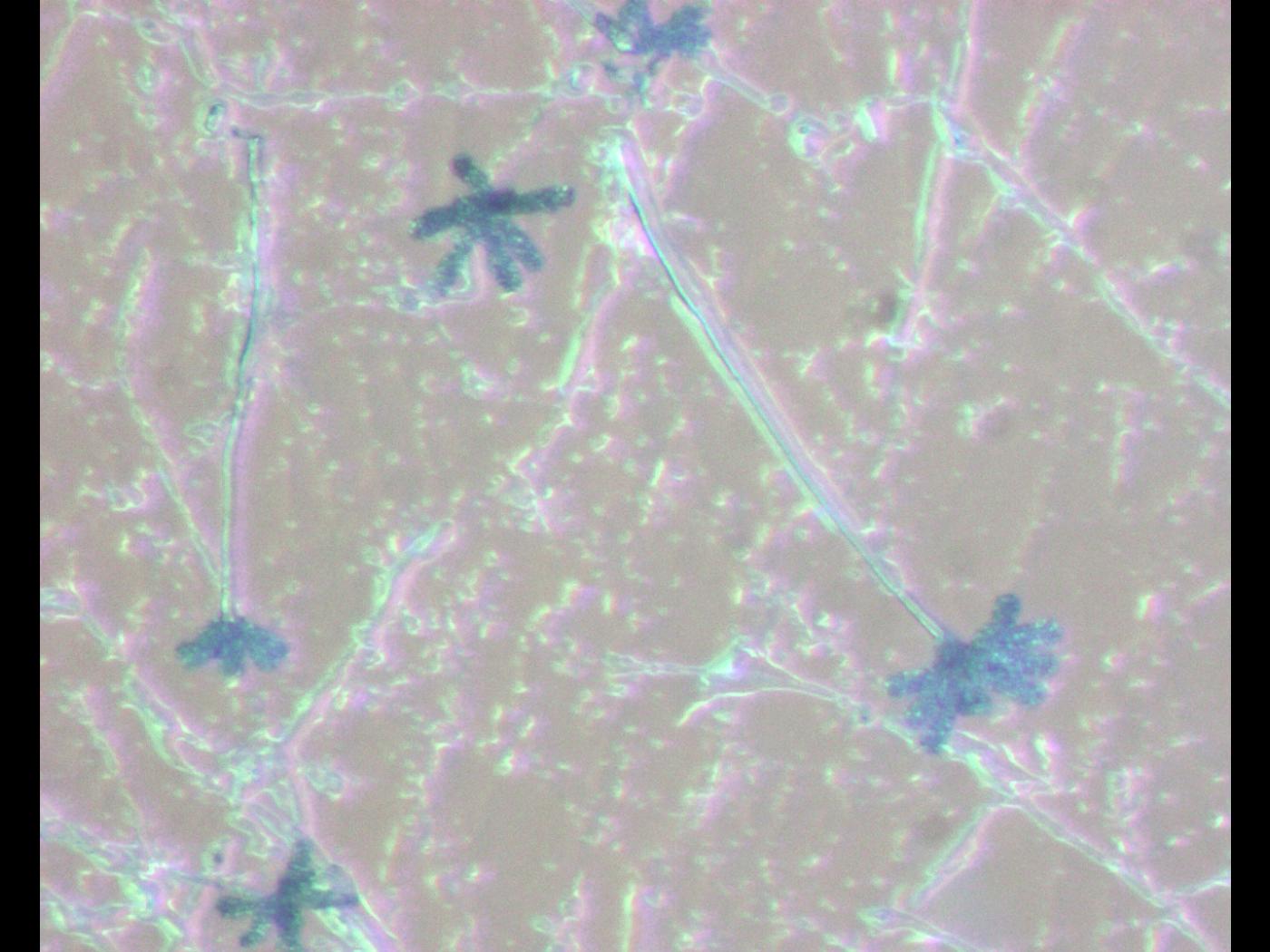
Légende: Conidiophore ramifié et conidies immatures de Chromelosporium sp. (x 100)
Crédit photo: Laboratoire d'expertise et de diagnostic en phytoprotection - MAPAQ
Chromelosporium-15_LQ
Chromelosporium-1_LQ
Informations complémentaires

Chromelosporium portait auparavant le nom de Ostracoderma. Il s'agit d'un champignon saprophyte qui recouvre souvent le dessus du substrat en serre. La masse de conidies est de couleur brun clair. Son stade sexué forme des pezizes.

Dommages

Géraniums (Pélargoniums), Tabac, Tabacs d'ornement