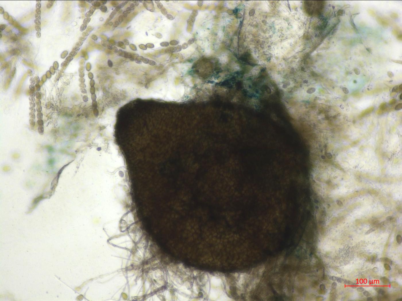
- Fructification : Périthèce brun foncé à noir. Obpyriforme (= en forme de poire inversée). À paroi glabre, d'une épaisseur de 3-4 couches de cellules. Solitaire, non disposé sur un stroma. À l'intérieur du périthèce, des paraphyses se forment avant l'apparition des asques. Les paraphyses sont filamenteuses dans les jeunes périthèces, deviennent vésiculeuses et ne sont parfois plus visibles dans les périthèces matures, car ont tendance à se désintégrer.
- Asques : Asques cylindriques. Munis d'un court stipe à la base (peu visible) et d'un apex tronqué avec un anneau apical (prenant l'apparence de deux petits points, au microscope). Unituniqués (= avec une seule paroi). Octosporés (= contenant huit ascospores). Environ 20 asques/périthèce.
- Ascospores : Ascospores brun foncé lorsque mature et beiges lorsqu'immatures. Unicellulaires (sans septation). Ovoïdes à fusiformes, à paroi lisse. Munies d'un pore germinatif basal et d'une gaine gélatineuse (= enveloppe mucilagineuse hyaline) pouvant être relativement épaisse. Longueur : environ 22 μm. Les huit ascospores sont unisériées dans l'asque (= arrangement linéaire).
Neurospora et Podospora sont deux ascomycètes qui produisent des périthèces, des asques et des ascospores ressemblant à Sordaria :
- Les ascospores de Neurospora sont à paroi striée tandis que celles de Sordaria sont à paroi lisse.
- Les ascospores de Podospora présentent deux appendices tandis que celles de Sordaria n'en ont pas.
Cycle de vie court, généralement de 7 à 12 jours. Les ascospores sont des spores haploïdes (n).
Toutes les espèces de Sordaria sont morphologiquement très similaires.
Sordaria est régulièrement observé en laboratoire de phytopathologie même s'il ne s'agit pas d'un genre phytopathogène, ce genre étant coprophile (= vit dans le fumier).
Sordaria macrospora et Sordaria fimicola sont deux espèces souvent utilisées en génétique lors d'études sur la recombinaison méiotique, suite au croisement de deux souches différentes. Sordaria peut donner des informations sur le croisement pendant la méiose. Le type sauvage produit des ascospores foncées et la forme mutante produit des ascospores claires. S'il n'y a pas de croisement, un modèle 4:4 est visible, soit 4 ascospores foncées et 4 ascospores claires, to...Lire la suite
Toutes les espèces de Sordaria sont morphologiquement très similaires.
Sordaria est régulièrement observé en laboratoire de phytopathologie même s'il ne s'agit pas d'un genre phytopathogène, ce genre étant coprophile (= vit dans le fumier).
Sordaria macrospora et Sordaria fimicola sont deux espèces souvent utilisées en génétique lors d'études sur la recombinaison méiotique, suite au croisement de deux souches différentes. Sordaria peut donner des informations sur le croisement pendant la méiose. Le type sauvage produit des ascospores foncées et la forme mutante produit des ascospores claires. S'il n'y a pas de croisement, un modèle 4:4 est visible, soit 4 ascospores foncées et 4 ascospores claires, toutes alignées. Si un croisement se produit, un motif 2:2:2:2 ou 2:4:2 est visible.
Richard T. Hanlin (1990) Illustrated Genera of Ascomycetes. Vol. 1., APS Press. p. 106-107
Revisiting the Life Cycle of Dung Fungi, Including Sordaria fimicola
Sordaria fimicola-Wikipédia







