Aller au contenu principal
Toggle menu
Me connecter
Accueil
Rechercher
Symptômes et dommages sur les plantes
Culture
Insectes et autres invertébrés
Mauvaises herbes et autres plantes
Virus et viroïdes
Champignons
Nématodes
Bactéries et phytoplasmes
Identifier
Glossaire
Galerie d'images
Elsinoe ampelina_1
Accueil
Nœud
Elsinoe ampelina_1
Identificateur
Antoine Dionne
Crédit photo
Laboratoire de diagnostic et d'expertise en phytoprotection - MAPAQ
Légende
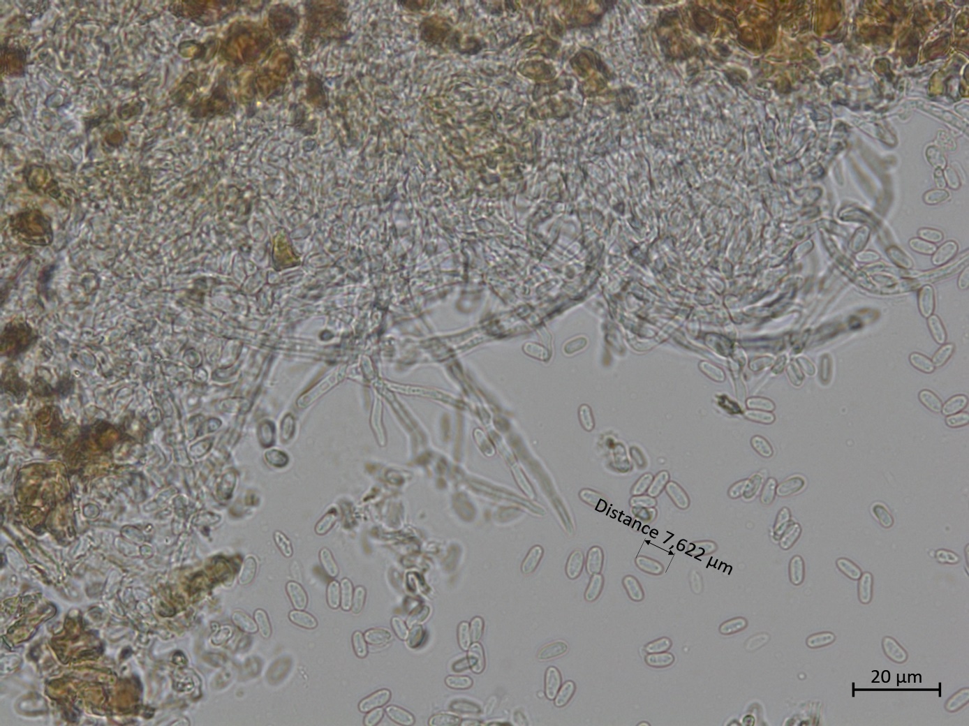
Conidiphores et conidies d'Elsinoe ampelina.
Champignons
sfy39587stp18
Drupal 9 Appliance
- Powered by
TurnKey Linux