Sarocladium_strictum_2

Fournisseur

Laboratoire de diagnostic en phytoprotection

Photographe

Legende

Hyphes et amas de conidies de Sarocladium strictum.

Credit

Laboratoire d'expertise et de diagnostic en phytoprotection – MAPAQ
Sarocladium_strictum_3

Fournisseur

Laboratoire de diagnostic en phytoprotection

Photographe

Legende

Conidies de Sarocladium strictum.

Credit

Laboratoire d'expertise et de diagnostic en phytoprotection – MAPAQ
Sarocladium_strictum_4

Fournisseur

Laboratoire de diagnostic en phytoprotection

Photographe

Legende

Hyphes de Sarocladium strictum regroupés en faisceaux avec de longs conidiophores qui en émergent.

Credit

Laboratoire d'expertise et de diagnostic en phytoprotection – MAPAQ
Orbilia_blumenaviensis_1

Fournisseur

Laboratoire de diagnostic en phytoprotection

Photographe

Mathilde Williatte-Battet

Legende

Plusieurs conidies au bout de conidiophores de Orbilia blumenaviensis.

Credit

Laboratoire d'expertise et de diagnostic en phytoprotection – MAPAQ
Orbilia_blumenaviensis_3

Fournisseur

Laboratoire de diagnostic en phytoprotection

Photographe

Mathilde Williatte-Battet

Legende

Dimension d'une conidie d'Orbilia blumenaviensis.

Credit

Laboratoire d'expertise et de diagnostic en phytoprotection – MAPAQ
Orbilia_blumenaviensis_2

Fournisseur

Laboratoire de diagnostic en phytoprotection

Photographe

Mathilde Williatte-Battet

Legende

Conidies d'Orbilia blumenaviensis.

Credit

Laboratoire d'expertise et de diagnostic en phytoprotection – MAPAQ
Orbilia_blumenaviensis_5

Fournisseur

Laboratoire de diagnostic en phytoprotection

Photographe

Mathilde Williatte-Battet

Legende

Conidiophore d'Orbilia blumenaviensis.

Credit

Laboratoire d'expertise et de diagnostic en phytoprotection – MAPAQ
Orbilia_blumenaviensis_4

Fournisseur

Laboratoire de diagnostic en phytoprotection

Photographe

Mathilde Williatte-Battet

Legende

Dimension d'une conidies d'Orbilia blumenaviensis.

Credit

Laboratoire d'expertise et de diagnostic en phytoprotection – MAPAQ
Bipolaris_sorokiniana_5

Fournisseur

Laboratoire de diagnostic en phytoprotection

Photographe

Legende

Conidies de Bipolaris sp. dont l'une attachée à son conidiophore.

Credit

Laboratoire d'expertise et de diagnostic en phytoprotection – MAPAQ
Bipolaris_zeicola_1

Fournisseur

Laboratoire de diagnostic en phytoprotection

Photographe

Legende

Conidies et conidiophores de Bipolaris sp.

Credit

Laboratoire d'expertise et de diagnostic en phytoprotection – MAPAQ
Bipolaris_zeicola_2

Fournisseur

Laboratoire de diagnostic en phytoprotection

Photographe

Legende

Conidies et hyphes de Bipolaris sp.

Credit

Laboratoire d'expertise et de diagnostic en phytoprotection – MAPAQ
Colletotrichum_siamense_1

Fournisseur

Laboratoire de diagnostic en phytoprotection

Photographe

Mathilde Williatte-Battet

Legende

Dimension de conidies de Colletotrichum siamense.

Credit

Laboratoire d'expertise et de diagnostic en phytoprotection – MAPAQ
Colletotrichum_siamense_2

Fournisseur

Laboratoire de diagnostic en phytoprotection

Photographe

Mathilde Williatte-Battet

Legende

Dimension de conidies de Colletotrichum siamense.

Credit

Laboratoire d'expertise et de diagnostic en phytoprotection – MAPAQ
Colletotrichum_siamense_3

Fournisseur

Laboratoire de diagnostic en phytoprotection

Photographe

Mathilde Williatte-Battet

Legende

Credit

Laboratoire d'expertise et de diagnostic en phytoprotection – MAPAQ
Colletotrichum_siamense_4

Fournisseur

Laboratoire de diagnostic en phytoprotection

Photographe

Mathilde Williatte-Battet

Legende

Conidiophores de Colletotrichum siamense.

Credit

Laboratoire d'expertise et de diagnostic en phytoprotection – MAPAQ
Colletotrichum_siamense_5

Fournisseur

Laboratoire de diagnostic en phytoprotection

Photographe

Mathilde Williatte-Battet

Legende

Conidies de Colletotrichum siamense se détachant de leurs conidiophores.

Credit

Laboratoire d'expertise et de diagnostic en phytoprotection – MAPAQ
Coniella_diplodiella_2

Fournisseur

Laboratoire de diagnostic en phytoprotection

Photographe

Mathilde Williatte-Battet

Legende

Dimension de conidies de Coniella diplodiella.

Credit

Laboratoire d'expertise et de diagnostic en phytoprotection – MAPAQ
Coniella_diplodiella_3

Fournisseur

Laboratoire de diagnostic en phytoprotection

Photographe

Mathilde Williatte-Battet

Legende

Dimension de conidies de Coniella diplodiella.

Credit

Laboratoire d'expertise et de diagnostic en phytoprotection – MAPAQ
Coniella_diplodiella_4

Fournisseur

Laboratoire de diagnostic en phytoprotection

Photographe

Mathilde Williatte-Battet

Legende

Conidies de Coniella diplodiella en croissance au bout de leurs conidiophores.

Credit

Laboratoire d'expertise et de diagnostic en phytoprotection – MAPAQ
Coniella_diplodiella_5

Fournisseur

Laboratoire de diagnostic en phytoprotection

Photographe

Mathilde Williatte-Battet

Legende

Credit

Laboratoire d'expertise et de diagnostic en phytoprotection – MAPAQ
Neocosmospora_solani_1

Fournisseur

Laboratoire de diagnostic en phytoprotection

Photographe

Mathilde Williatte-Battet

Legende

Dimension de macroconidies de Neocosmospora solani.

Credit

Laboratoire d'expertise et de diagnostic en phytoprotection – MAPAQ
Neocosmospora_solani_2

Fournisseur

Laboratoire de diagnostic en phytoprotection

Photographe

Mathilde Williatte-Battet

Legende

Macroconidies de Neocosmospora solani.

Credit

Laboratoire d'expertise et de diagnostic en phytoprotection – MAPAQ
Neocosmospora_solani_3

Fournisseur

Laboratoire de diagnostic en phytoprotection

Photographe

Mathilde Williatte-Battet

Legende

Macroconidies et amas de microconidies de Neocosmospora solani.

Credit

Laboratoire d'expertise et de diagnostic en phytoprotection – MAPAQ
Neocosmospora_solani_4

Fournisseur

Laboratoire de diagnostic en phytoprotection

Photographe

Mathilde Williatte-Battet

Legende

Chlamydospores de Neocosmospora solani.

Credit

Laboratoire d'expertise et de diagnostic en phytoprotection – MAPAQ
Neopestalotiopsis_sp_5

Fournisseur

Laboratoire de diagnostic en phytoprotection

Photographe

Mathilde Williatte-Battet

Legende

Neopestalotiopsis sur milieu PDA après 14 jours de croissance.

Credit

Laboratoire d'expertise et de diagnostic en phytoprotection – MAPAQ
Neopestalotiopsis_sp_6

Fournisseur

Laboratoire de diagnostic en phytoprotection

Photographe

Mathilde Williatte-Battet

Legende

Neopestalotiopsis sur milieu PDA après 21 jours de croissance.

Credit

Laboratoire d'expertise et de diagnostic en phytoprotection – MAPAQ
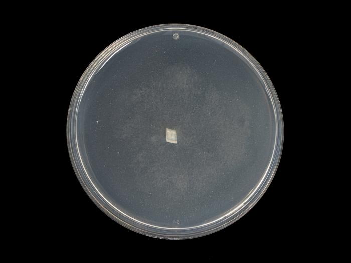
Neopestalotiopsis_sp_7

Fournisseur

Laboratoire de diagnostic en phytoprotection

Photographe

Mathilde Williatte-Battet

Legende

Neopestalotiopsis sur milieu SNA après 7 jours de croissance.

Credit

Laboratoire d'expertise et de diagnostic en phytoprotection – MAPAQ
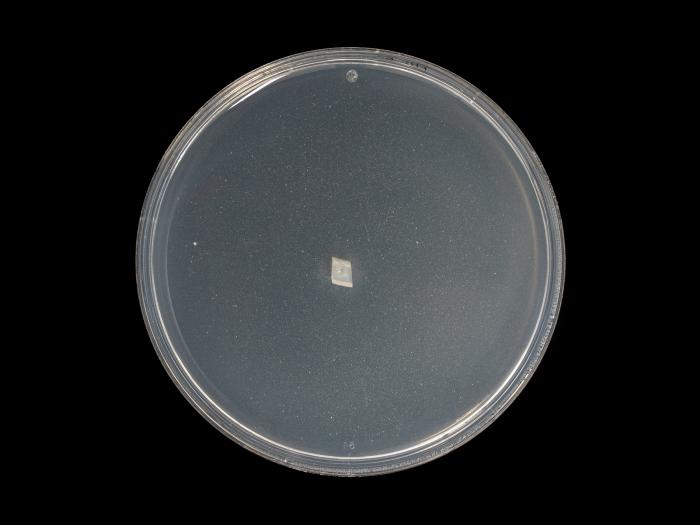
Neopestalotiopsis_sp_8

Fournisseur

Laboratoire de diagnostic en phytoprotection

Photographe

Mathilde Williatte-Battet

Legende

Neopestalotiopsis sur milieu SNA après 14 jours de croissance.

Credit

Laboratoire d'expertise et de diagnostic en phytoprotection – MAPAQ
Neopestalotiopsis_sp_9

Fournisseur

Laboratoire de diagnostic en phytoprotection

Photographe

Mathilde Williatte-Battet

Legende

Neopestalotiopsis sur milieu SNA après 21 jours de croissance.

Credit

Laboratoire d'expertise et de diagnostic en phytoprotection – MAPAQ
Phytophthora_cactorum_6

Fournisseur

Laboratoire de diagnostic en phytoprotection

Photographe

Mathilde Williatte-Battet

Legende

Phytophthora cactorum sur milieu CV8 après 7 jours de croissance.

Credit

Laboratoire d'expertise et de diagnostic en phytoprotection – MAPAQ